前歯の変色が気になりご来院 ― 保険適用の被せ物からオールセラミックへの変更症例
施術前
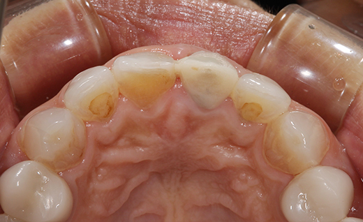
施術中
施術中コメント
施術中の様子です。 保険の被せ物を外し、新しいオールセラミッククラウンを装着するための土台を丁寧に形成していきます。 「少し緊張していましたが、説明がわかりやすくて安心できました」とのお言葉もいただきました。
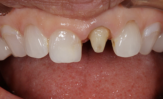
施術後
施術後コメント
治療後、鏡をご覧になった患者さまは、「わっ、すごく自然…!前歯ってこんなにきれいにできるんですね!」と笑顔に。 オールセラミックは金属を使わないため、自然な透け感や明るさがあり、まわりの歯ともよくなじみます。変色しにくく、美しさを長く保てるのも特徴です。 オールセラミッククラウンの費用は、1本あたり121,000円(税込)です。 前歯の変色や色の不揃いにお悩みの方、保険の被せ物からのアップグレードをご検討中の方は、ぜひ一度お気軽におかだ歯科クリニックへご相談ください。患者さまお一人おひとりに合ったご提案をさせていただきます。
自費治療のご確認事項
治療内容
- 歯の詰め物や被せ物をセラミックなどの白い素材で治療します。
費用(自費)
- インレー:1 本あたり 55,000円~66,000円(税込)
- クラウン:1 本あたり 44,000円~143,000万円(税込)
- ラミネートべニア:1 本あたり 55,000円~(税込)
治療期間及び回数
- 症状によりますが、処置自体は通院1~2 回で完了します。
副作用・リスク
- 銀歯に比べて厚みがあるため、歯を削る量が若干多くなります。
- 歯ぎしりなどにより稀に破損する場合があります。

「昔保険で入れた前歯の色が、年々まわりの歯と合わなくなってきて…笑ったときにどうしても気になってしまうんです」 とご相談いただきました。 変色や色味の違いが気になるということで、今回は保険の被せ物を取り外し、自然な見た目と透明感が特徴のオールセラミックに交換する治療をご提案しました。