施術例

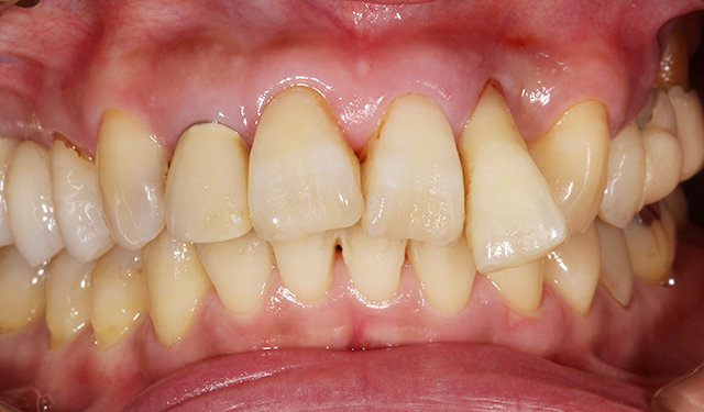
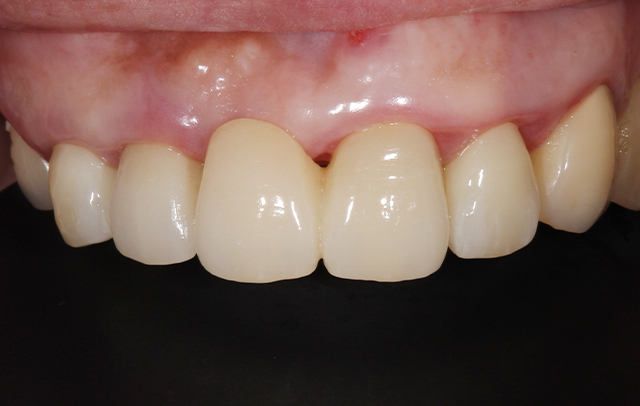
突出していた側切歯を抜歯し、ジルコニアブリッジで整えた審美治療症例

施術前
施術後

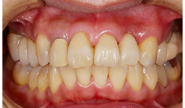
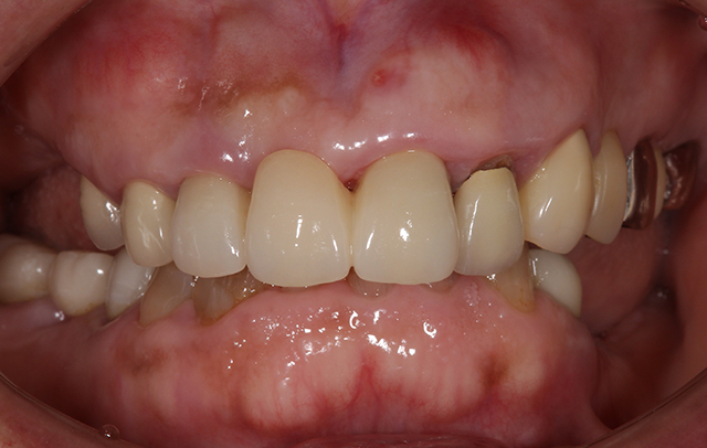
保険の被せ物による前歯の黒ずみを改善し、オールセラミックで自然な口元へ

施術前
施術後

経年劣化で変色したオールセラミッククラウンを、美しくリニューアルした症例

施術前
施術後

保険のブリッジからジルコニアブリッジへ ― 見た目と強度を両立した症例

施術前
施術後

前歯の変色が気になりご来院 ― 保険適用の被せ物からオールセラミックへの変更症例

施術前
施術後

欠損した奥歯をメタルボンドブリッジで補った症例

施術前
施術後

変色した前歯を自然な色味で仕上げたオールセラミック治療の症例

施術前
施術後

欠けた被せ物を保険適用で修復した症例

施術前
施術後

オールセラミックで前歯の歯並びと美しさを整えた審美治療の症例

施術前
施術後

被せ物の隙間を改善し、オールセラミックで審美性を回復した症例

施術前
施術後
ページ上部へ