保険のブリッジからジルコニアブリッジへ ― 見た目と強度を両立した症例
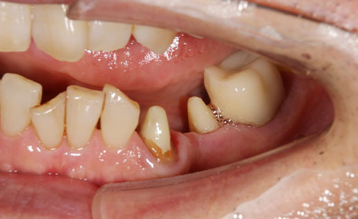
施術前


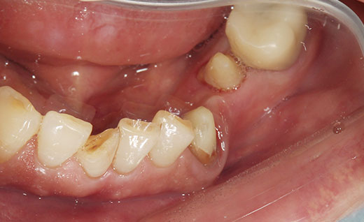
施術中


施術中コメント
現在は、ジルコニアブリッジを装着するための土台を丁寧に形成しているところです。 美しく自然な仕上がりを目指すため、細部にわたり慎重に調整を行っています。
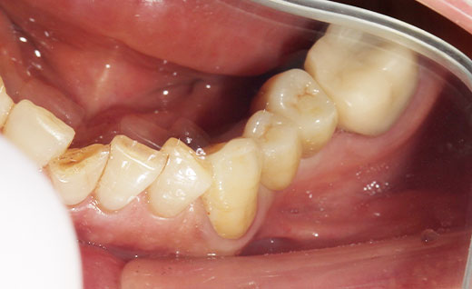
施術後


施術後コメント
治療後は、自然な色合いで仕上がったジルコニアブリッジに患者さまも 「どこを治療したのか、言われなければわからないですね」 と笑顔を見せてくださいました。 ジルコニアは、高い強度と美しさを兼ね備えており、奥歯のような力がかかる部位にも適した素材です。また、周囲の歯に合わせた色味の調整が可能で、今回のようにあえて「少し使い込まれたような自然な色合い」に仕上げることもできます。 保険治療後の詰め物や被せ物について「見た目が気になる」「もっと自然にしたい」とお考えの方は多くいらっしゃいます。 機能面はもちろん、審美性も大切にしたい方にはジルコニア治療が最適です。 まずはお気軽に、おかだ歯科医院へご相談ください。患者さまのお悩みに合わせた最適な治療プランをご提案いたします。
自費治療のご確認事項
治療内容
- 歯の詰め物や被せ物をセラミックなどの白い素材で治療します。
費用(自費)
- インレー:1 本あたり 55,000円~66,000円(税込)
- クラウン:1 本あたり 44,000円~143,000万円(税込)
- ラミネートべニア:1 本あたり 55,000円~(税込)
治療期間及び回数
- 症状によりますが、処置自体は通院1~2 回で完了します。
副作用・リスク
- 銀歯に比べて厚みがあるため、歯を削る量が若干多くなります。
- 歯ぎしりなどにより稀に破損する場合があります。
「保険のブリッジを入れていたけれど、金属が見えるのが気になって…」 とご相談いただいた患者さま。 左下の3番目から5番目の歯に、保険適用の金属製ブリッジが入っていましたが、見た目の違和感や金属の露出が気になるとのことで、今回はジルコニア素材のブリッジに変更する治療をご提案・施術させていただきました。