経年劣化で変色したオールセラミッククラウンを、美しくリニューアルした症例
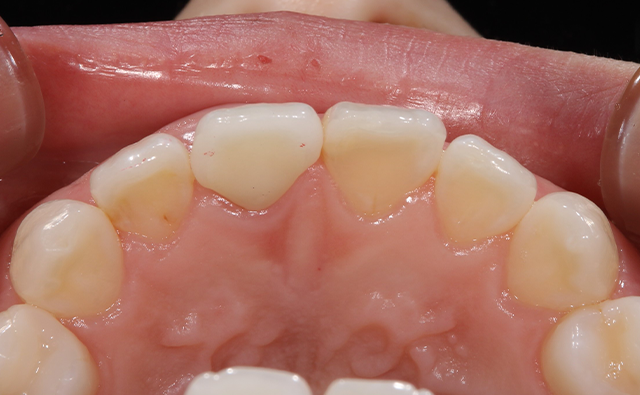
施術前
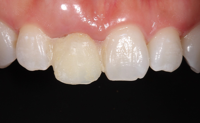
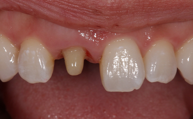
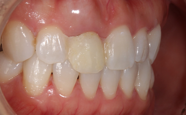
施術中
施術中コメント
新しいオールセラミッククラウンを正しく装着するため、土台となる歯の形を整え直し、よりフィットするよう再形成していきます。
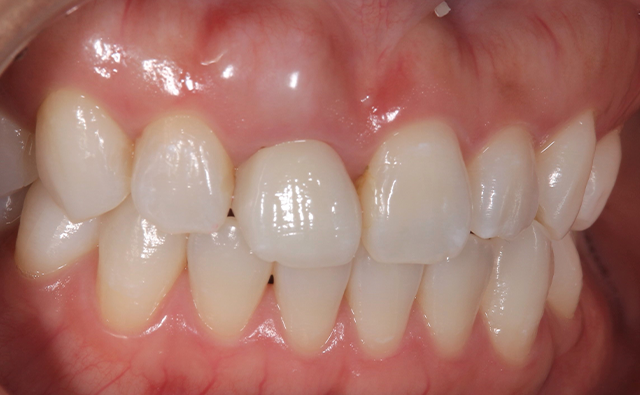
施術後
施術後コメント
術後、気にされていた両側の汚れがすっかり取り除かれ、自然で透明感のある仕上がりになりました。「気にせず思いっきり笑えるようになった」と大変喜ばれていました。 歯の見た目に自信が持てないと、笑顔が控えめになってしまう方も少なくありません。今回のように、口元の印象が変わることで表情が明るくなり、自信につながるケースも多くあります。お口元でお悩みがありましたら、どうぞお気軽にご相談ください。
自費治療のご確認事項
治療内容
- 歯の詰め物や被せ物をセラミックなどの白い素材で治療します。
費用(自費)
- インレー:1 本あたり 55,000円~66,000円(税込)
- クラウン:1 本あたり 44,000円~143,000万円(税込)
- ラミネートべニア:1 本あたり 55,000円~(税込)
治療期間及び回数
- 症状によりますが、処置自体は通院1~2 回で完了します。
副作用・リスク
- 銀歯に比べて厚みがあるため、歯を削る量が若干多くなります。
- 歯ぎしりなどにより稀に破損する場合があります。

長年使用されたオールセラミックの被せものに、変色や汚れの付着が見られ、見た目が気になるとのことでご相談いただきました。口を開けて笑うことに少しためらいがあるとのお悩みも伺いました。