保険の被せ物による前歯の黒ずみを改善し、オールセラミックで自然な口元へ
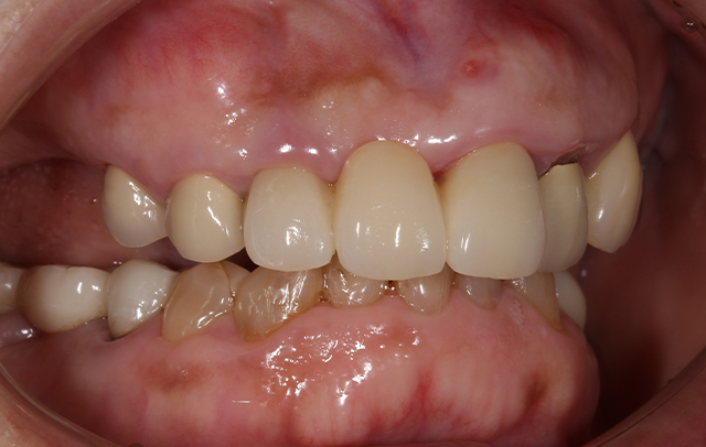
施術前
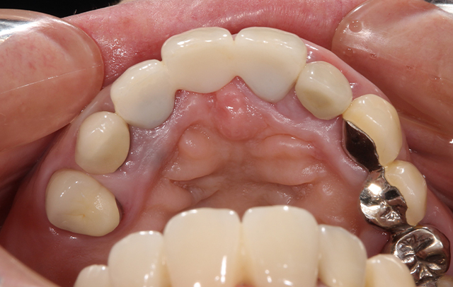
施術中
施術中コメント
施術中の様子です。 被せ物を装着するために歯の土台を整え、オールセラミッククラウンを装着する準備を行っています。仕上がりの美しさと適合性を高めるため、丁寧に工程を進めていきます。
施術後
施術後コメント
以前は、オールセラミックの歯と保険の被せ物との色の差や黒ずみが気になっておられましたが、今回すべての前歯をオールセラミックにしたことで、歯の色調が統一され、より自然で美しい口元に仕上がりました。 「笑顔に自信が持てるようになり、以前よりも笑うことが楽しくなった」と大変ご満足いただいています。
自費治療のご確認事項
治療内容
- 歯の詰め物や被せ物をセラミックなどの白い素材で治療します。
費用(自費)
- インレー:1 本あたり 55,000円~66,000円(税込)
- クラウン:1 本あたり 44,000円~143,000万円(税込)
- ラミネートべニア:1 本あたり 55,000円~(税込)
治療期間及び回数
- 症状によりますが、処置自体は通院1~2 回で完了します。
副作用・リスク
- 銀歯に比べて厚みがあるため、歯を削る量が若干多くなります。
- 歯ぎしりなどにより稀に破損する場合があります。

以前、前歯3本をオールセラミックで治療されていましたが、その隣の歯は保険適応の被せ物で治療されており、色の違いや歯ぐきとの境目の黒ずみが気になるとのことでした。 笑ったときに目立ってしまうため、無意識に口元を気にしてしまうことがお悩みでした。 今回は、右上2番と左上3番の前歯をオールセラミックに変更する治療を行いました。