銀歯をオールセラミックに置き換え、メタルフリーへ
施術前
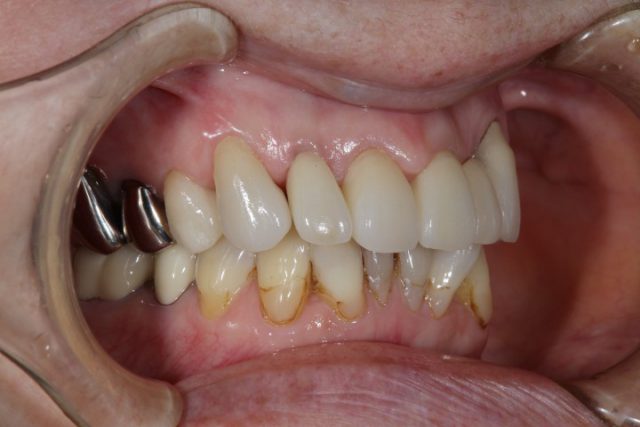
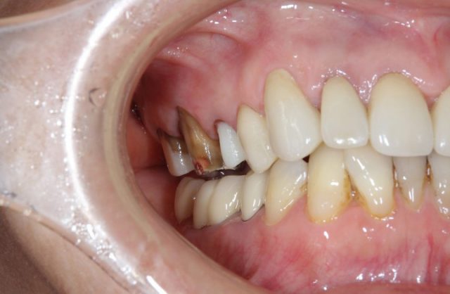
施術中
施術中コメント
既存の被せ物がある場合は、まずそれを丁寧に除去し、オールセラミッククラウンを装着するための支台歯形成を行います。 その後、精密に作製されたセラミックと土台を適合させ、強固に接着していきます。
施術後
施術後コメント
施術後は、周囲の天然歯と自然に調和し、見た目の違和感はほとんどありません。 保険の銀歯では色調や質感の違いが目立つことがありますが、オールセラミックは審美性に優れ、より自然な仕上がりが得られます。 また、表面が滑沢で汚れが付着しにくく、長期間にわたって変色しにくい点も大きなメリットです。 「メタルフリー」という言葉をご存知でしょうか。 口腔内に金属が存在することで、無意識のうちにストレスを感じているケースがあります。中には、それが原因で頭痛や歯ぎしりといった症状につながることも指摘されています。 こうした金属由来のストレスを軽減するため、口腔内から金属を排除する考え方を「メタルフリー」と呼びます。 今回の患者様のように、段階的に銀歯をセラミックへ置き換えていくことで、見た目の改善だけでなく、機能面・心理面の負担軽減にもつながります。 お口の中に違和感やストレスを感じている方は、ぜひ一度ご相談ください。
自費治療のご確認事項
治療内容
- 歯の詰め物や被せ物をセラミックなどの白い素材で治療します。
費用(自費)
- インレー:1 本あたり 55,000円~66,000円(税込)
- クラウン:1 本あたり 44,000円~143,000万円(税込)
- ラミネートべニア:1 本あたり 55,000円~(税込)
治療期間及び回数
- 症状によりますが、処置自体は通院1~2 回で完了します。
副作用・リスク
- 銀歯に比べて厚みがあるため、歯を削る量が若干多くなります。
- 歯ぎしりなどにより稀に破損する場合があります。

こちらの患者様は、これまでにも保険診療の補綴物をオールセラミックへと順次置き換えており、「口腔内から金属をなくしていきたい」というご希望をお持ちでした。 今回は奥歯に装着されていた保険の銀歯3本を、オールセラミックへと変更する治療を行いました。