突出していた側切歯を抜歯し、ジルコニアブリッジで整えた審美治療症例
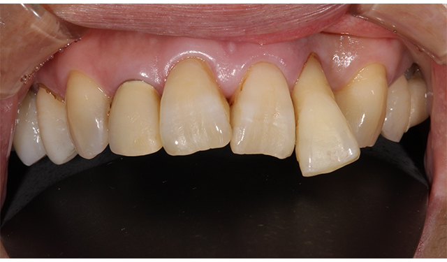
施術前
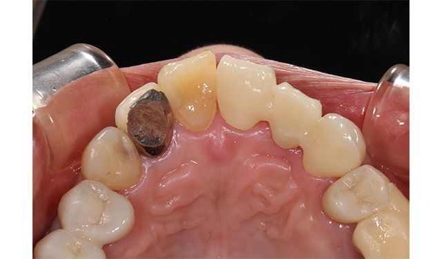
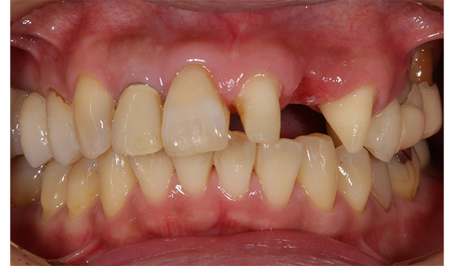
施術中
施術中コメント
突出していた側切歯を抜歯し、ブリッジの支えとなる周囲の歯を土台として使用するため、適切に形成(削合)を行っていきます。 仕上がりの美しさと噛み合わせのバランスを考慮しながら、慎重に処置を進めます。
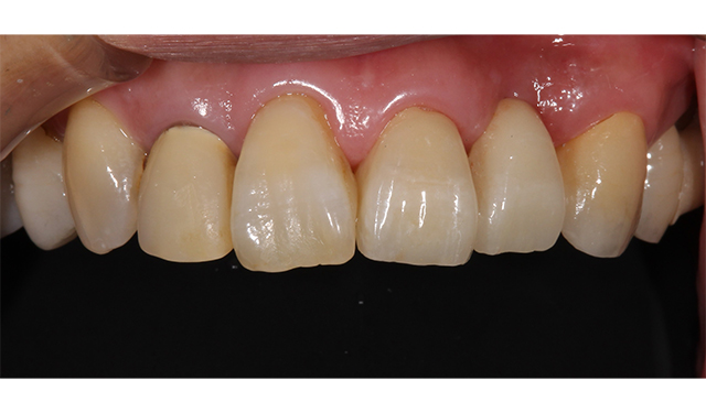
施術後
施術後コメント
突出していた歯はジルコニアブリッジによって、周囲の歯と自然に調和した並びとなり、非常に美しい仕上がりになりました。 ジルコニアは強度に優れた素材のため、見た目だけでなく、しっかり噛める機能性の面でも安心してお使いいただけます。 歯並びや歯の形、生え方などでお悩みの方は、ぜひ一度ご相談ください。 患者さま一人ひとりに合わせた最適な治療プランをご提案いたします。
自費治療のご確認事項
治療内容
- 歯の詰め物や被せ物をセラミックなどの白い素材で治療します。
費用(自費)
- インレー:1 本あたり 55,000円~66,000円(税込)
- クラウン:1 本あたり 44,000円~143,000万円(税込)
- ラミネートべニア:1 本あたり 55,000円~(税込)
治療期間及び回数
- 症状によりますが、処置自体は通院1~2 回で完了します。
副作用・リスク
- 銀歯に比べて厚みがあるため、歯を削る量が若干多くなります。
- 歯ぎしりなどにより稀に破損する場合があります。

前歯の横に位置する側切歯(そくせっし)がもともと前方へ突出しており、見た目が気になるとのことでご相談をいただきました。 今回はこの歯を抜歯し、周囲の歯を支えにした「ブリッジ」という方法で、ジルコニア素材による審美治療を行うこととなりました。