メタルフリー

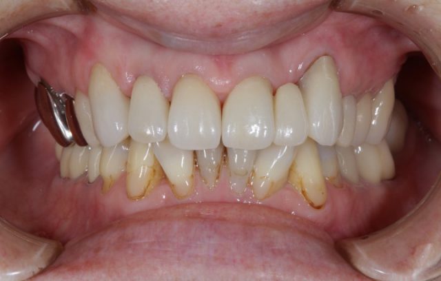
銀歯をオールセラミックに置き換え、メタルフリーへ

施術前
施術後

金属を口の中から取り除くメタルフリー治療

施術前
施術後
ページ上部へ