オールセラミック

「自然な笑顔を取り戻したい」セラミックブリッジで叶えたお口のトータルケア

施術前
施術後

銀歯をオールセラミックに置き換え、メタルフリーへ

施術前
施術後

保険の被せ物による前歯の黒ずみを改善し、オールセラミックで自然な口元へ

施術前
施術後

経年劣化で変色したオールセラミッククラウンを、美しくリニューアルした症例

施術前
施術後

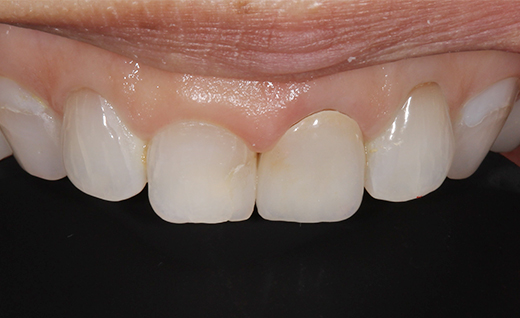
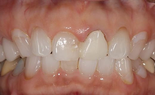
前歯の変色が気になりご来院 ― 保険適用の被せ物からオールセラミックへの変更症例

施術前
施術後

変色した前歯を自然な色味で仕上げたオールセラミック治療の症例

施術前
施術後

オールセラミックで前歯の歯並びと美しさを整えた審美治療の症例

施術前
施術後

被せ物の隙間を改善し、オールセラミックで審美性を回復した症例

施術前
施術後

前歯の変色と歯茎下がりによる黒ずみを改善したオールセラミック治療の症例

施術前
施術後

金属を口の中から取り除くメタルフリー治療

施術前
施術後
ページ上部へ